Finger verhindert die Finalteilnahme beim IXS European Downhill Cup

Bischofsmais war am vergangenen Wochenende Austragungsort des Finales der Europaserie.. So kamen zum letzten der insgesamt vier Rennen des Cups 288 Teilnehmer aus 17 Nationen in den Bayrischen Wald.
Die Teilnehmer fanden bei optimalen Wetterbedingungen eine perfekt präparierte Strecke vor, die fast ausnahmslos die Zustimmung der Fahrer erhielt. Viele der deutschen Bergabradsportler fuhren zum letzten Mal zur Deutschen Meisterschaft im Jahr 2003 im Bikepark am Geißkopf, waren jedoch sichtlich begeistert von der ca. 2 km langen Strecke. Der von Diddie Schneider, dem bekanntesten Streckenbauer Deutschlands, designte Kurs ist gekennzeichnet vom steinigen und felsigen Untergrund. Neben einigen Highspeedpassagen musste sich das hochkarätige Starterfeld auf viel Airtime einstellen.

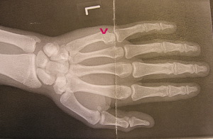
Rene Blöchle aus Sulz-Hopfau sah im Seeding Run am Samstag schon gute Möglichkeiten auf einen der ersten 5 Plätze zu kommen, doch beim Training am Sonntag vor dem Finale stütze er und brach sich dabei einen Finger. Nach der Rettung durch die Bergwacht und der Untersuchung im Krankenhaus war schnell klar, dass nicht nur das Finale im European Cup für ihn nicht stattfinden wird, sondern auch das nächste Rennen in Deutschland noch in den „Genesungszeitraum“ hineinfallen wird.

Am besten kam Marcus Klausmann (GER - Ghost) auf der im internationalen Vergleich eher kurzen Strecke zu Recht. Er sicherte sich mit 2,14 min Fahrzeit und dünnem Vorsprung den obersten Podestplatz. Klausmann nutzte somit die Chance und verdrängte Benny Strasser (GER - Toxoholic´s/iXS) noch vom zweiten Platz im Gesamtergebnis der Serie. Nick Beer (SUI - Scott 11) fuhr nach seiner Führung im Seeding Run trotz eines Patzers und einem daraus resultierenden technischen Problems auf den zweiten Rang. Schon vor dem Finallauf stand jedoch fest, dass ihn aufgrund seines Punktestandes keiner von seinem Thron der Gesamtwertung stoßen könnte. Somit gewann der amtierende Europameister bereits zum zweiten Mal den iXS European Downhill Cup. Dritter der Tageswertung wurde Andreas Sieber (GER - Solid Aclass), der schon am Samstag mit einem zweiten Platz seine Klasse beweisen konnte.

Das Rennen in Bischofsmais war äußerst spannend und ein absolut würdiges Finale der Europaserie. Alle waren sich einig, dass es lange überfällig war, dieses Rennen wieder im Downhillkalender zu etablieren.


 

Rückblicke


Startseite
Die Ortschaft
Kalender
Dorfplatz
Vereine
Wirtschaft
Institutionen
Touristik/Reise
Links
Kontakt
Unbenannt792

200909201407